Nach der Übergabe lahmes Pferd mit erheblichem Röntgenbefund – trotzdem kein Sachmangel!
Berufungsinstanz :
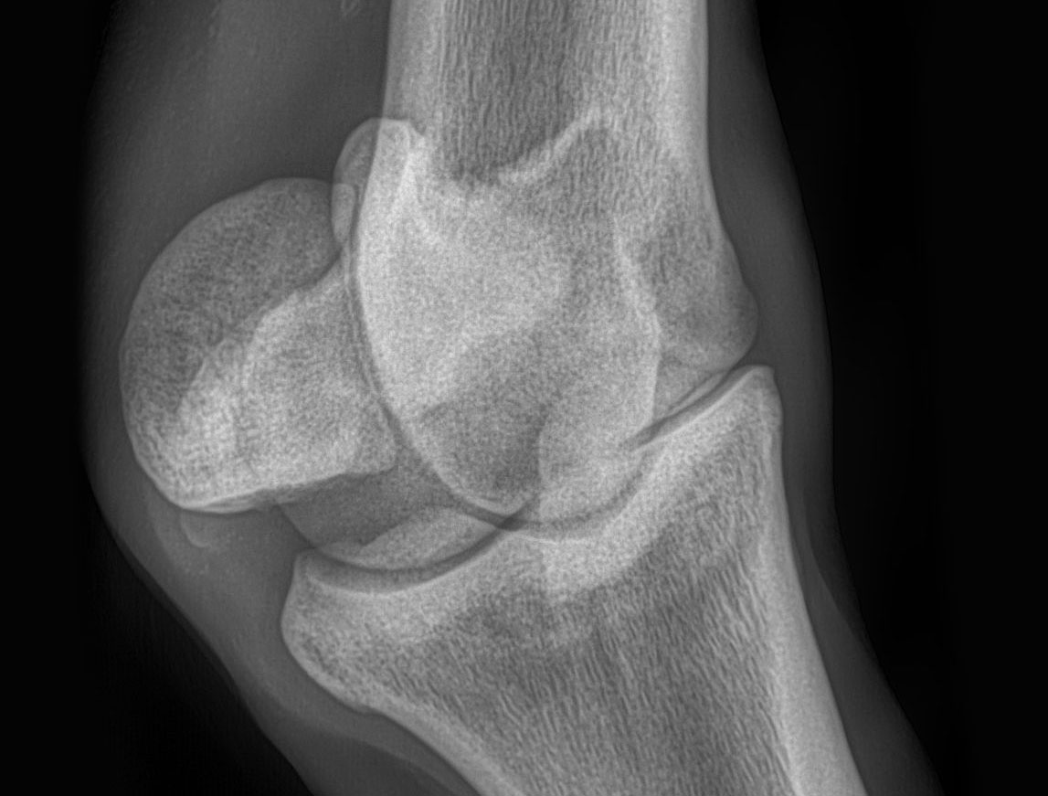
Jahre nach der Übergabe ein erheblicher Röntgenbefund, eine Lahmheit und die Frage : ist das Pferd auf Grund eines unstreitig zum Übergangszeitpunkt bereits bestandenen erheblichen Röntgenbefundes hinten rechts (Apikalfraktur eines Gleichbeins) i.V.m. einer wenig nach der Übergabe tierärztlich bescheinigten „akuten Lahmheit“ als Reitpferd unbrauchbar ?
Antwort hier: NEIN
Eine „akute Lahmheit“ (ohne Benennung der Gliedmaße) war damals tierärztlich bescheinigt und auf den Röntgenbefund zurückgeführt, ohne das eine nähere Untersuchung und Lahmheitsdiagnostik durchgeführt worden war .
Ergebnis der sachverständigen Begutachtung – drei Jahre später:
Ja, das Pferd war tatsächlich auch zum Ortstermin/Besichtigungszeitpunkt (3 Jahre später) auf derselben Gliedmaße, auch im Verlaufe der dreitägigen Diagnostik geringgradig lahm.
Die weiterführende Diagnostik , insbesondere die Befunde der Leitungsanästhesien ergaben jedoch:
Nein – die Lahmheitsursache war jedenfalls zum Besichtigungszeitpunkt nicht im Bereich des bereits zum Übergabezeitpunkt vorhandenen Röntgenbefundes (Gleichbeinfraktur) lokalisiert, sondern deutlich oberhalb des Fesselgelenkes.
Eine weitergehende Abklärung zur Lahmheitsursache war in Hinblick auf die konkreten Beweisfragen entbehrlich. Eine Rückdatierung der sich möglicherweise ergebenden Befunde und der Lahmheitsdiagnose auf den drei Jahre zurückliegenden Übergabezeitpunkt wäre ohnehin nicht möglich und nicht gefragt.
Fazit:
1. Ein Röntgenbefund ist als solcher grundsätzlich nicht geeignet, eine Lahmheitsursache abzuklären.
2. Bei Gesundheitsmängeln kann die Beweisführung der Käuferseite an einer hinreichend belastbaren tierärztlichen Befunddokumentation scheitern.
Daher beachten:
Tierärztliche Befunde müssen zeitnah zur Übergabe erhoben und belastbar dokumentiert sein!
